Dental Clinic in Gandhinagar | Dentist in Gandhinagar | Dentist near me | Dental Clinic near me | Nova Dental Hospital

Best Dental Clinic near you in Gandhinagar
Choosing the right dental clinic is an important decision for your health, comfort, and long-term confidence. For families, professionals, and NRI patients searching for the best dental clinic in Gandhinagar, trust matters just as much as treatment quality.
Nova Dental Hospital was built to provide advanced, ethical, and patient-focused dental care in a comfortable environment where every patient feels informed, respected, and supported. As a trusted dental clinic in Gandhinagar, our goal is to combine modern dental precision, painless procedures, and personalized care to support healthier smiles for children, adults, senior patients, and international visitors.
Led by Dr. Happy Patel (BDS), with 10 years of clinical experience, Nova Dental Hospital offers comprehensive dental care supported by advanced CBCT technology, family-focused treatment planning, emergency dental support, and structured NRI dental care.
Treatments At Our Dental Clinic in Gandhinagar
Whether you’re searching for a “toothache treatment near me”, “best dental implants near me”, or simply need a trusted dental clinic near you in Gandhinagar, Nova Dental Hospital has the right solution.
why choose us
What makes us the best dental clinic in Gandhinagar
We believe the best dental clinic in Gandhinagar should not simply offer treatments, but should also create a positive, informed, and reassuring dental experience through Nova Dental Hospital’s patient-first philosophy.

Meet the Best Dentist in Gandhinagar
Dr. Happy Patel (Dental Surgeon)
DR. HAPPY PATEL is a dental surgeon with 10 years of expertise. She is the owner and director of NOVA Dental Hospital. Her area of expertise is all dental treatments like dental implants, cosmetic dental treatments and smile makeovers, painless root canal treatments, full mouth rehabilitation treatments, fixed and removable dentures, and child dental care.
DR. HAPPY PATEL is dedicated to the most advanced dental treatment and technology. Incorporating proven systems that make your appointments better, faster, and safer. This view of technology makes our dental procedures more conservative and less expensive for our dental patients. she is very particular about sterilization and hygiene protocols.
Advanced Dental Technology for Better Precision
Modern dentistry depends on precision, and advanced technology plays an essential role in delivering better outcomes.
At Nova Dental Hospital, our CBCT technology supports:
- Implant planning
- Root canal assessment
- Bone analysis
- Wisdom tooth diagnosis
- Jaw evaluation
- Complex restorative planning
This allows us to provide more informed treatment recommendations and better long-term support.
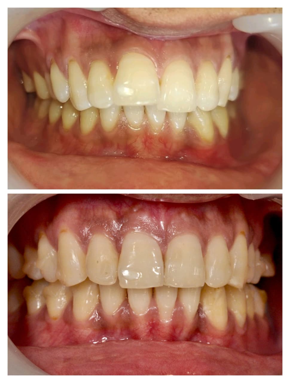
Smile Gallery
Frequently Asked Questions
Which is the best dental clinic in Gandhinagar for complete oral care?
How do I choose the right dentist near me in Gandhinagar?
Do you provide painless dental treatments?
What is the cost of dental implants in Gandhinagar?
I searched for “dental clinic near me” — how can I book an appointment?
Do you offer cosmetic dentistry and smile makeovers?
Can I get same-day dental emergency treatment?
Are children’s dental treatments available at your clinic?
How often should I visit a dentist near me for a check-up?
Do you offer teeth cleaning and whitening packages?
Does Nova Dental Hospital use advanced dental technologies for diagnosis and treatment?
How safe is your dental clinic for infection control?
What’s the difference between a regular dentist and a specialist?
Do you handle dental treatments for senior citizens?
Who is the best dentist in Gandhinagar for painless procedures?
Where can I find a high-tech dental clinic in Gandhinagar near GIFT City?
What makes Nova Dental the best dental clinic in Gandhinagar for families?
Does your dental clinic in Gandhinagar offer emergency services?
How much do dental implants or Invisalign cost at your clinic?
Happy patients say
































































