Dental Ceramic Veneers in Gandhinagar
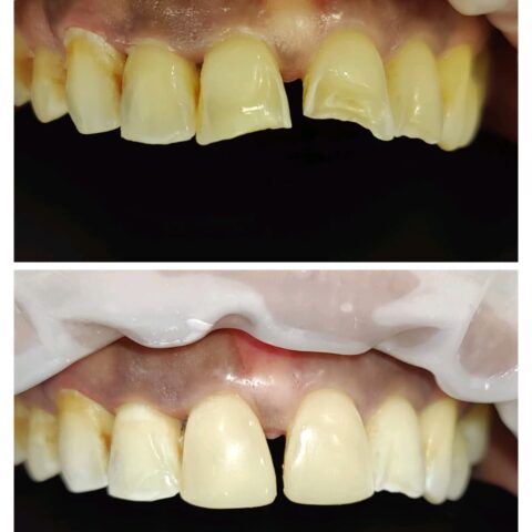
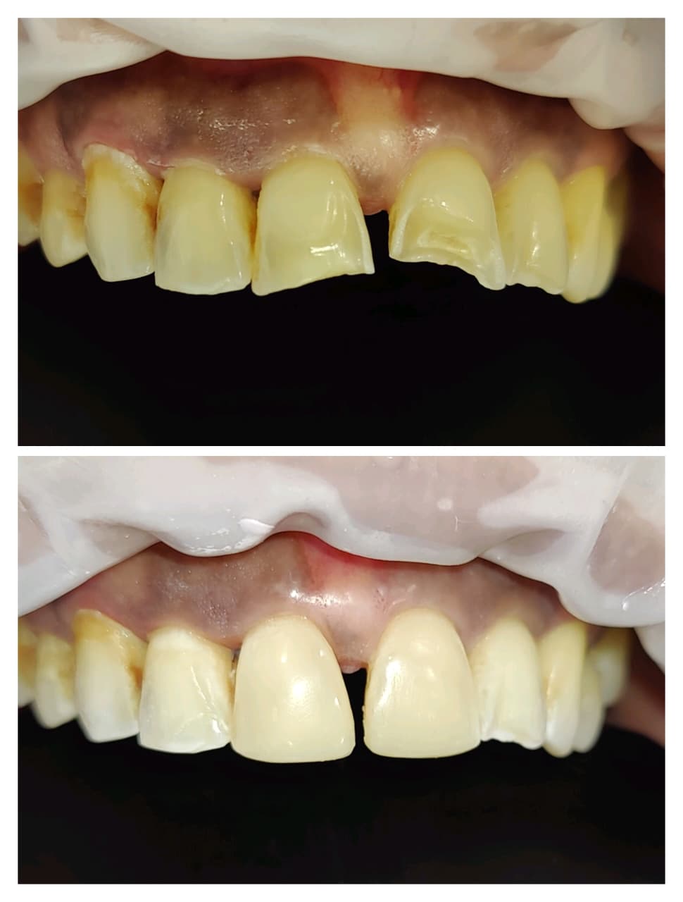
Are you looking in the mirror and wishing you could correct a chipped tooth, stubborn stains, or a gap in your smile? Dental veneers are a transformative cosmetic solution that can give you the radiant, natural-looking smile you’ve always dreamed of.
At Nova Dental Hospital in Gandhinagar, we believe a beautiful smile is a powerful tool. Led by Dr. Happy Patel, our experienced team combines artistry and precision to deliver stunning, durable porcelain and composite veneers that feel as good as they look.

What Are Dental Veneers?
Veneers are ultra-thin, custom-made shells of tooth-colored material that are bonded to the front surface of your teeth. They are designed to correct a wide range of cosmetic imperfections, creating a uniform, brilliant, and natural-looking smile.
Is a Veneer Smile Right for You?
Veneers are an excellent option for patients who want to correct:
- Discolored or Stained Teeth: Veneers can permanently cover severe stains that do not respond to professional teeth whitening.
- Chipped or Worn Teeth: They provide a strong, protective layer to restore the shape and integrity of damaged teeth.
- Minor Gaps or Misalignment: For small gaps or slightly crooked teeth, veneers can create a straight, seamless appearance without the need for braces.
- Misshapen Teeth: They are ideal for correcting teeth that are unevenly sized or have an irregular shape.
Porcelain vs. Composite Veneers: Understanding Your Options
At your consultation, we will help you choose the best material for your unique needs and aesthetic goals.
| Feature | Porcelain Veneers | Composite Veneers |
| Material | Custom-fabricated in a dental lab from high-quality porcelain. | Made from a tooth-colored resin and applied directly to the tooth. |
| Durability | Highly durable, stain-resistant, and can last 10-15 years or more. | Less durable and may need to be repaired or replaced every 5-7 years. |
| Appearance | Closely mimics the translucent quality of natural tooth enamel for a stunning, lifelike look. | Provides a good aesthetic result but may not have the same natural translucency as porcelain. |
| Process | Requires two appointments: one for tooth preparation and a second for bonding the final veneers. | Typically completed in a single appointment at our clinic. |
| Cost | Higher initial cost due to material and lab fabrication. | More affordable upfront cost. |
The Nova Dental Veneer Experience
We ensure your journey to a new smile is seamless and comfortable.
- Personalized Consultation: We start with a thorough oral examination and a discussion of your smile goals. We’ll show you digital smile design previews so you can visualize your final results.
- Precise Preparation: For porcelain veneers, a minimal amount of enamel (about 0.5 mm) is gently removed from the front of the tooth to ensure a perfect, natural fit.
- Crafting Your Veneers: Our skilled dental lab will meticulously craft your custom porcelain veneers to match your desired shape and shade. For composite veneers, this step is completed chair-side.
- Final Placement: We will expertly bond the veneers to your teeth, making any final adjustments to ensure your new smile is flawless.
Veneers vs. Other Cosmetic Treatments
- Veneers vs. Teeth Whitening: While whitening can brighten your teeth, veneers can fix chips, gaps, and permanent stains that whitening cannot.
- Veneers vs. Dental Bonding: Bonding is a single-visit, more affordable option for minor chips. However, veneers offer a longer-lasting, more durable, and more stain-resistant solution for a comprehensive smile makeover.
FAQs: Your Questions About Veneers Answered
Q1: How much do veneers cost in Gandhinagar?
A: The cost of veneers varies based on the number of veneers needed, the material chosen (porcelain vs. composite), and the complexity of your case. We will provide a detailed and transparent cost estimate during your initial consultation.
Q2: Do veneers damage teeth?
A: No. When performed by a skilled dentist, veneers do not damage your teeth. The preparation process involves removing a very small amount of enamel, which is a necessary step for the veneers to bond correctly and not appear bulky.
Q3: Are veneers permanent?
A: Veneers are considered a permanent cosmetic solution because they require a small amount of tooth enamel to be removed. Once placed, your teeth will always need to be covered by a veneer or a crown.
Q4: How long do veneers last?
A: With proper care and hygiene, porcelain veneers can last 10-15 years or longer. Composite veneers typically last 5-7 years before needing to be touched up or replaced.
Q5: Can veneers look fake?
A: Not at Nova Dental Hospital. Our goal is to create veneers that are indistinguishable from natural teeth. We take great care in matching the shade, shape, and translucency to ensure your new smile is both beautiful and authentic.
Q6: How do I care for my veneers?
A: Caring for your veneers is easy. You simply need to maintain good oral hygiene with regular brushing, flossing, and routine dental check-ups. We also recommend avoiding chewing on hard objects to protect your investment.
Ready for the Smile of Your Dreams?
Take the first step toward a more confident you. Contact Nova Dental Hospital today to schedule your personalized veneers consultation and discover how we can transform your smile.




