Dental Crown and Bridges Treatment in Gandhinagar
A compromised smile can impact your confidence and quality of life, affecting your ability to eat, speak, and smile freely. The good news is that modern dentistry offers two highly effective and reliable solutions: dental crowns and bridges.
At Nova Dental Hospital in Gandhinagar, we specialize in providing customized dental crown and bridges treatment to restore the health, function, and natural beauty of your smile. We believe in a personalized approach, ensuring that your restoration is meticulously crafted to fit your unique needs.

Dental Crowns: Restoring Strength and Beauty
A dental crown, often referred to as a teeth cap, is a custom-made, tooth-shaped cover that is placed over a damaged or weakened tooth. It acts like a protective helmet, encasing the entire visible portion of the tooth down to the gum line. The purpose of a crown is to restore the tooth’s shape, size, strength, and appearance.
When is a Dental Crown Needed?
A teeth cap is an ideal solution in a variety of situations:
- Protecting a weak tooth from fracturing or holding parts of a cracked tooth together.
- Restoring a tooth that is severely worn down or has a large filling.
- Covering and supporting a tooth that has undergone a root canal treatment.
- Holding a dental bridge in place.
- Covering a misshapen or severely discolored tooth for cosmetic purposes.
- Finishing a dental implant to replace a missing tooth.
Types of Dental Crowns
The type of crown we recommend depends on your specific needs, focusing on durability, aesthetics, and function.
- Porcelain-Fused-to-Metal (PFM) Crowns: These crowns offer a great balance of strength and aesthetics. They have a metal base for durability, with a porcelain layer on top that is color-matched to your natural teeth.
- All-Ceramic / Zirconia Crowns: These are the most popular choice today, especially for front teeth. Made entirely of a durable ceramic material like zirconia, they provide an unmatched natural appearance that is nearly indistinguishable from your other teeth. They are also an excellent option for those with metal allergies.
- Metal Crowns: Typically made from gold or a durable metal alloy, these crowns are extremely strong and long-lasting. They are often recommended for molars that endure heavy chewing forces, where aesthetics are less of a concern.
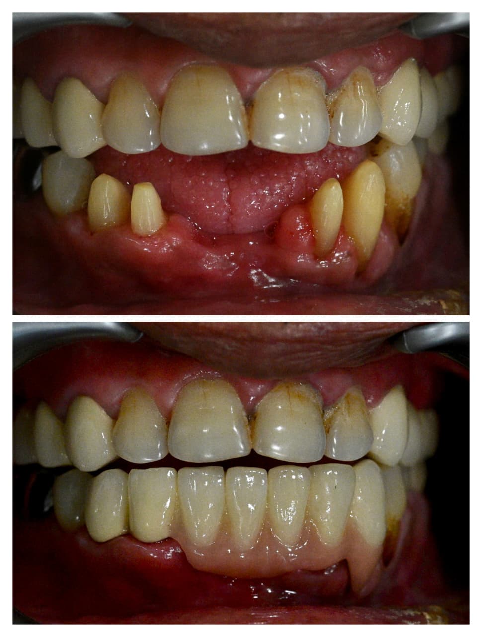
Dental Bridges: Bridging the Gap for Missing Teeth
A dental bridge is a fixed appliance used to fill the space left by one or more missing teeth. As the name suggests, it literally “bridges” the gap. A bridge is made up of two or more crowns for the teeth on either side of the gap (called abutment teeth) and a replacement tooth (called a pontic) in between.
When is a Dental Bridge Required?
A bridge is an excellent choice for a patient who:
- Has one or more missing teeth in a row.
- Wants to restore chewing and speaking ability.
- Needs to prevent their remaining teeth from shifting into the empty space, which can lead to bite problems and other dental issues.
- Wants a fixed, non-removable solution for tooth replacement.
Types of Dental Bridges
We offer various types of bridges tailored to your oral condition:
- Traditional Bridges: This is the most common type, used when there are natural teeth on both sides of the gap. The bridge is supported by crowns placed on the abutment teeth.
- Cantilever Bridges: Similar to a traditional bridge, but it is supported by a crown on only one side. This is an option when there’s only one natural tooth adjacent to the gap.
- Implant-Supported Bridges: For the ultimate in stability and long-term health, an implant-supported bridge is a superior option. Instead of relying on natural teeth for support, the bridge is anchored securely to dental implants surgically placed in the jawbone.
Crowns vs. Bridges: Which is Right for You?
Deciding between a crown and a bridge depends entirely on your specific oral health needs. Here’s a simple comparison to help you understand the difference:
| Aspect | Dental Crown | Dental Bridge |
| Purpose | To protect and restore a single, damaged tooth. | To replace one or more missing teeth. |
| Number of Teeth Involved | Involves a single tooth. | Involves at least three teeth (two abutment teeth and the replacement tooth). |
| Treatment | The crown fits over an existing tooth. | The bridge is anchored to adjacent teeth to span a gap. |
| Benefit | Preserves and strengthens the existing tooth. | Prevents remaining teeth from shifting and restores a complete smile. |
| Longevity | Can last 5-15 years with proper care. | Can last 10-15 years with proper care. |
Export to Sheets
The best way to determine the right treatment for you is through a thorough consultation. We will assess your specific situation and recommend the most effective and durable solution.
Frequently Asked Questions (FAQ)
- Q. How long do dental crowns and bridges last?
- With proper oral hygiene and regular dental checkups, both crowns and bridges can last for a decade or more. The longevity depends on the material used, your lifestyle, and how well you care for the restoration.
- Q. Is the procedure painful?
- No. We use a local anesthetic to ensure that you are comfortable and pain-free throughout the entire procedure. You may experience some temporary sensitivity or mild discomfort afterward, but this typically subsides within a few days.
- Q. Will my crown or bridge look natural?
- Absolutely. We use high-quality materials like zirconia and porcelain that are custom-matched to the shade of your natural teeth. The restorations are designed to blend seamlessly with your smile, so no one will know you have a crown or bridge.
- Q. Can crowns and bridges get cavities?
- The crown or bridge material itself cannot decay. However, the underlying natural tooth structure and the area around the gum line are still vulnerable to cavities and gum disease. This is why maintaining excellent oral hygiene is crucial.
- Q. What are the best materials?
- While we offer several options, all-ceramic and zirconia are generally considered the best materials due to their superior strength, durability, and natural appearance. They are an excellent investment for a long-lasting, beautiful smile.
If you have a damaged or missing tooth, a dental crown or bridge can be the perfect solution to restore your oral health and confidence.
Contact Nova Dental Hospital today to schedule a consultation with our experts in Gandhinagar and discover how we can help you achieve a beautiful, functional smile.







