Can Crooked Teeth Be Fixed Without Braces? Alternative Options Explained

Can Crooked Teeth Be Fixed Without Braces? Alternative Options Explained
Not everyone with crooked teeth wants to spend years wearing traditional metal braces. Whether you’re concerned about appearance, worried about the time commitment, or simply curious about alternatives, you’re not alone in wondering if other options exist to improve your smile. The good news is that modern dentistry offers several effective approaches to address crooked teeth without traditional braces, though the best solution depends on your specific situation.
Understanding the difference between truly straightening teeth and creating the appearance of straight teeth helps clarify which alternatives might work for you. Some methods actually move teeth into better positions, while others camouflage alignment issues by reshaping visible tooth surfaces. Both approaches have appropriate uses depending on the severity of your misalignment, your goals, your budget, and how quickly you want results.
The key to choosing the right crooked teeth treatment in Gandhinagar involves understanding what each option can and cannot accomplish, realistic expectations about results and timeframes, and honest assessment of which approach best matches your needs. This guide explores the main alternatives to traditional braces, explaining how each works, who makes a good candidate, and what advantages and limitations each option presents.
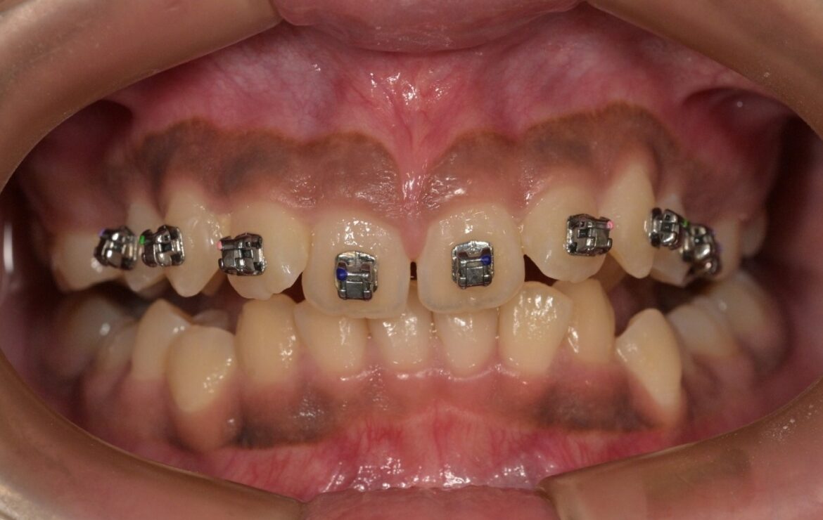
Clear Aligners: The Invisible Alternative to Braces
Clear aligners represent the most popular alternative to traditional braces for people who want to actually move their teeth rather than just change their appearance. These transparent plastic trays fit snugly over your teeth and gradually shift them into better positions through carefully controlled forces.
Clear aligners work through a series of custom-made trays that you wear for about 22 hours daily, removing them only for eating and cleaning. Every one to two weeks, you progress to the next tray in the series, with each one slightly different to continue moving your teeth incrementally toward their final positions. The total treatment typically takes anywhere from six months to two years depending on how much movement your teeth need.
The technology behind clear aligners has advanced significantly in recent years. Digital scanning creates precise three-dimensional models of your teeth, and sophisticated software plans the exact movements needed to achieve your desired results. This planning process shows you a virtual preview of how your teeth will look after treatment, helping you visualize the outcome before beginning.
Clear aligners offer several advantages over traditional braces. The transparent material makes them far less noticeable than metal brackets and wires, appealing to adults and teenagers who feel self-conscious about traditional braces. The removable design allows normal eating without food restrictions and makes brushing and flossing easier since you can clean your teeth thoroughly without working around fixed appliances. Many people find aligners more comfortable than braces since they lack sharp metal parts that can irritate cheeks and lips.
However, clear aligners work best for mild to moderate alignment problems. Severe crowding, significant bite issues, or teeth that need rotating substantially often require traditional braces or other orthodontic approaches. Clear aligners also depend heavily on patient compliance—you must wear them consistently for at least 20-22 hours daily to achieve results on schedule. Removing them frequently or forgetting to wear them delays treatment and compromises outcomes.
Cost for clear aligner treatment typically ranges similar to or slightly higher than traditional braces, though pricing varies based on treatment complexity and duration. Many dental practices offer payment plans that make the investment more manageable. The convenience and aesthetic advantages often justify the cost for people who would otherwise avoid orthodontic treatment due to concerns about metal braces’ appearance.
For residents of Gandhinagar seeking teeth straightening options without traditional braces, clear aligners provide an excellent solution when appropriate for their degree of misalignment. Consultation with an experienced provider determines whether your specific case suits this approach or requires different treatment.
Dental Veneers: Instant Smile Transformation
Dental veneers offer a completely different approach to addressing crooked teeth—they don’t move teeth at all but instead cover them with thin shells that create the appearance of a straight, beautiful smile. This cosmetic solution works remarkably well for certain situations where the goal is improving appearance rather than changing actual tooth position.
Veneers are thin shells, typically made from porcelain or composite resin, that bond to the front surfaces of your visible teeth. The process involves removing a small amount of tooth enamel (usually less than a millimeter), taking impressions or digital scans, and then placing custom-created veneers that match your desired tooth shape, size, and color. The result can dramatically transform your smile’s appearance in just two or three appointments.
Veneers for crooked teeth work particularly well when misalignment is relatively minor and confined to your front teeth. If your teeth are slightly rotated, have small gaps, appear uneven in length, or have minor overlapping, veneers can create the illusion of perfectly straight teeth without the time commitment of orthodontic treatment. The dentist designs each veneer to correct the visual appearance of misalignment, making your smile look uniform and well-aligned even though the underlying teeth haven’t moved.
The advantages of choosing veneers include speed—you can achieve your desired smile appearance in a few weeks rather than months or years. Veneers also address multiple cosmetic concerns simultaneously, correcting not just alignment appearance but also tooth color, shape, and size. This comprehensive approach creates beautiful results that orthodontics alone might not achieve. Once placed, veneers resist staining better than natural teeth and can last ten to fifteen years with proper care.
However, veneers have important limitations to consider. They’re best suited for cosmetic improvement rather than functional correction. If your misalignment causes bite problems, chewing difficulties, or jaw pain, veneers won’t address these functional issues. Veneers also require permanently removing some tooth enamel, making the process irreversible—you’ll always need some restoration covering those teeth once enamel is removed.
Cost represents another consideration. Quality porcelain veneers typically cost more per tooth than comprehensive orthodontic treatment that corrects multiple teeth. However, treating only a few front teeth with veneers might cost less overall than full orthodontic treatment if your primary concern involves just your most visible teeth.
Veneers work best for adults with healthy teeth and gums who want quick cosmetic improvement of minor alignment issues. They’re particularly appealing for people preparing for important events like weddings or who need rapid smile transformation for professional reasons. Patients at our dental clinic near PDPU often choose veneers when they want beautiful results without the extended timeline of orthodontic treatment.
The decision between actually straightening teeth through orthodontics versus creating straight-looking teeth through veneers depends on your priorities, timeline, budget, and whether your misalignment involves functional problems beyond cosmetics. An experienced cosmetic dentistry provider can help you understand which approach better serves your specific situation and goals.
Dental Bonding: Quick Fix for Minor Issues
Dental bonding offers another cosmetic solution for addressing the appearance of slightly crooked or misshapen teeth. This conservative approach uses tooth-colored composite resin material to reshape teeth, close small gaps, and create a more uniform appearance without removing significant tooth structure or requiring weeks of treatment.
The bonding process involves applying composite resin directly to your tooth surface, sculpting it to the desired shape, and then hardening it with a special curing light. The dentist can add material to fill gaps, extend short teeth, round off pointed teeth, or create more uniform edges—all in a single appointment lasting about an hour per tooth. The composite resin is matched to your natural tooth color, blending seamlessly with surrounding teeth.
Dental bonding works well for minor cosmetic concerns involving one or a few teeth. If you have a slightly rotated front tooth, a small gap between two teeth, or teeth that appear uneven in length, bonding can improve these issues quickly and affordably. The technique also repairs chipped teeth, covers discolored spots that whitening cannot address, and protects exposed root surfaces from gum recession.
The main advantages of bonding include its conservative nature—unlike veneers, bonding typically requires little to no tooth enamel removal, preserving more of your natural tooth structure. The single-appointment treatment provides immediate results without multiple visits or temporary restorations. Cost-wise, bonding ranks as one of the most affordable cosmetic dental procedures, making smile improvement accessible to people with limited budgets.
However, bonding has limitations that make it less suitable for more significant alignment issues. Composite resin isn’t as strong as porcelain veneers and can chip or stain over time, typically lasting five to ten years before needing replacement or touch-ups. Bonding works best for small cosmetic improvements rather than dramatic transformations. If you have substantial crowding, significant rotation, or multiple teeth requiring correction, bonding alone likely won’t achieve the results you want.
The skill of the dentist significantly impacts bonding outcomes. Expertly applied bonding looks natural and lasts well, while poorly executed bonding appears obvious and fails prematurely. Choose an experienced cosmetic dentist who can show you examples of their bonding work before proceeding.
Bonding often serves as an excellent interim solution. If you’re not ready for the commitment or cost of veneers but want to improve your smile’s appearance now, bonding provides immediate enhancement. You can later pursue more comprehensive treatment like veneers or orthodontics if desired, with minimal impact since bonding requires little tooth alteration.
For people in Gandhinagar seeking quick, affordable smile correction for minor issues, dental bonding deserves consideration. Consultation at a dental clinic near PDPU helps determine whether bonding can achieve your goals or if other approaches would serve you better.
Dental Contouring and Reshaping
Dental contouring, also called tooth reshaping or enameloplasty, involves removing small amounts of tooth enamel to improve tooth shape, length, or surface. This subtle technique can address minor imperfections that contribute to a crooked appearance, often in combination with bonding for optimal results.
The contouring process uses fine dental instruments to carefully remove tiny amounts of enamel, smoothing rough edges, rounding pointed teeth, shortening overly long teeth, or creating more uniform tooth shapes. The dentist polishes the reshaped teeth to a smooth finish. This conservative procedure typically causes no discomfort and requires no anesthesia for most patients.
Contouring works well for very minor issues like slightly overlapping front teeth where removing a small amount of enamel from one tooth’s edge creates the appearance of better alignment. It can also correct teeth that appear crooked simply because they’re different lengths or have irregular shapes. Small chips or worn edges that make teeth look uneven respond well to contouring combined with bonding.
The procedure’s advantages include its extreme conservatism—it only removes what’s already excess or problematic—and its immediate results in a single appointment. No temporary restorations, no multiple visits, and no laboratory work are required. Contouring costs less than most other cosmetic procedures and creates subtle, natural-looking improvements.
However, contouring has strict limitations. Only very minor changes are possible since removing too much enamel risks exposing sensitive dentin or weakening teeth. Contouring cannot address significant misalignment, crowding, or spacing issues. It works best as part of a comprehensive smile correction plan rather than as a standalone solution for notably crooked teeth.
Combining contouring with bonding often produces better results than either technique alone. The dentist might contour teeth to create better underlying shapes, then add bonding material where needed to fill gaps or extend short teeth. This combination approach maximizes cosmetic improvement while remaining conservative.
Crowns and Bridges for Specific Situations
Dental crowns and bridges, while not typically considered primary crooked teeth treatment options, can address alignment appearance in specific situations, particularly when teeth also have structural problems requiring restoration.
Crowns completely cover damaged or weakened teeth, restoring their shape, size, strength, and appearance. When placing a crown, the dentist can design it to correct the visual appearance of minor rotation or tilting, creating a more aligned look. This approach works particularly well when a tooth needs a crown anyway due to large fillings, cracks, root canal treatment, or significant wear.
Bridges replace missing teeth by anchoring artificial teeth to surrounding natural teeth using crowns. When designing a bridge, the dentist can adjust the position and appearance of both the replacement tooth and the anchor crowns to create better overall alignment appearance. This option suits people who have both missing teeth and minor misalignment in the same area.
The advantage of addressing misalignment appearance through crowns or bridges needed for other reasons is efficiency—you solve multiple problems with one treatment. However, crowns require removing substantial tooth structure and represent a major restoration with significant cost. Using crowns solely to address minor misalignment without other dental problems isn’t recommended when less invasive options like veneers or orthodontics would work better.
Retainers for Very Minor Movement
In some cases of extremely minor misalignment, particularly involving just one or two slightly shifted teeth, removable retainers can encourage small amounts of tooth movement. This approach typically works only for teeth that have previously been orthodontically straightened and have shifted slightly over time, rather than for teeth that have never been properly aligned.
Retainers designed for minor tooth movement look similar to clear aligners but aren’t custom-sequenced for progressive movement. They work by applying gentle pressure to shift teeth back toward their previous positions. This option requires consistent wear and patience, with results developing over weeks or months.
The main advantage is avoiding more extensive orthodontic treatment for very minor issues. However, most truly crooked teeth require more substantial intervention than retainers can provide. Consult an orthodontist to determine if this conservative approach might work for your specific situation.
Combination Approaches for Optimal Results
Many people achieve their best outcomes by combining multiple teeth straightening options rather than relying on a single approach. Understanding how different treatments work together helps you and your dentist create a comprehensive plan that addresses all aspects of your smile concerns.
For example, someone might use clear aligners to move teeth into better positions orthodontically, then complete the transformation with veneers on one or two teeth that didn’t respond ideally to movement. This combination provides both functional improvement through orthodontics and cosmetic perfection through veneers where needed.
Another common combination involves orthodontic treatment followed by bonding or contouring to refine tooth shapes after achieving proper alignment. Moving teeth into correct positions doesn’t always result in ideal tooth shapes, and these finishing touches create the polished appearance many people desire.
Some patients begin with cosmetic solutions like veneers to address their most visible front teeth quickly, then later pursue orthodontic treatment for remaining teeth if desired. This phased approach provides immediate cosmetic improvement while allowing time to decide about more comprehensive treatment and spread costs over longer periods.
The key to successful combination treatment lies in proper planning before beginning any procedures. An experienced cosmetic dentistry team evaluates your complete situation, discusses your goals and priorities, and recommends an integrated approach that achieves your desired outcome efficiently. This comprehensive planning prevents committing to one treatment that later proves inadequate or pursuing treatments in a sequence that doesn’t optimize results.
Factors to Consider When Choosing Your Approach
Selecting the right method for addressing your crooked teeth requires weighing multiple considerations beyond simply wanting straighter teeth. Taking time to thoughtfully evaluate these factors helps ensure you choose an approach you’ll be satisfied with long-term.
Severity of misalignment significantly influences which options will work. Mild crowding, small gaps, or slight rotation respond to most approaches including veneers, clear aligners, or bonding. Moderate misalignment typically requires orthodontic solutions like clear aligners or braces. Severe crowding, significant bite problems, or teeth requiring substantial movement usually need traditional braces or other comprehensive orthodontic treatment.
Your primary goals matter greatly. If your main concern is appearance and you want results quickly, cosmetic solutions like veneers might suit you best. If you want to actually correct tooth positions and address functional issues like bite problems, orthodontic approaches including clear aligners become necessary. Being honest about whether you care more about appearance or function guides your decision.
Timeline expectations influence your choice. Veneers and bonding provide results in weeks, while orthodontic treatment takes months to years. Consider any upcoming important events, career considerations, or personal preferences about how soon you want your improved smile.
Budget constraints play a realistic role in treatment decisions. Cosmetic dentistry approaches like veneers cost more per tooth but treat fewer teeth if only your most visible ones need improvement. Orthodontic treatment costs accumulate over longer periods but address your entire bite and all teeth. Many dental practices offer financing options that make various treatments accessible, but understanding costs helps you plan appropriately.
Age and overall dental health affect your options. Younger patients with healthy teeth and still-developing jaws have more orthodontic options than older adults. People with gum disease, significant tooth decay, or jaw problems need to address these issues before pursuing cosmetic solutions. Some treatments work better for certain age groups—veneers suit stable adult teeth better than still-developing teenage teeth.
Lifestyle and compliance ability matter for treatments requiring consistent patient cooperation. Clear aligners demand disciplined daily wear, while veneers require no ongoing compliance. Consider honestly whether you’ll consistently wear aligners or follow orthodontic treatment instructions before choosing approaches that depend on your cooperation.
Long-term maintenance requirements differ between options. Veneers last years but eventually need replacement. Orthodontic results require permanent retainer wear to prevent teeth from shifting back. Understanding these ongoing commitments helps you choose an approach you can maintain successfully.
Questions to Ask Your Dentist
Productive consultation with a dental professional in Gandhinagar about your crooked teeth treatment options involves asking the right questions to fully understand your choices and make informed decisions.
Ask which treatment approaches your dentist recommends specifically for your case and why. Understanding the reasoning behind professional recommendations helps you evaluate whether their suggestions align with your priorities and goals. Different dentists might emphasize different approaches based on their training and experience, so knowing their perspective matters.
Inquire about what results you can realistically expect from each option. Request to see before-and-after photos of previous patients with similar issues who underwent treatments you’re considering. Visual examples help you set realistic expectations and visualize potential outcomes.
Understand the complete timeline including all appointments, waiting periods, and how long until you see final results. This information helps you plan around work, school, or personal commitments and choose options fitting your schedule.
Ask about total costs including all appointments, materials, and any potential additional expenses. Clarify what’s included in quoted prices and what might cost extra. Inquire about payment plans, financing options, or whether your dental insurance covers any portion of treatment.
Discuss potential risks, complications, or side effects associated with recommended treatments. Understanding what could go wrong and how likely various complications are helps you make risk-informed decisions. Ask what happens if you’re not satisfied with results or if problems develop.
Learn about the dentist’s experience with your chosen treatment. How many similar cases have they completed? Can they provide references or reviews from previous patients? Experience matters significantly for achieving optimal outcomes, particularly with cosmetic procedures where artistic skill influences results.
Understand what maintenance or follow-up care your chosen treatment requires. Will you need periodic adjustments, replacements, or other ongoing care? What does this involve in terms of time and cost over the long term?
Ask what happens if you don’t treat your crooked teeth at all. Understanding whether your misalignment is primarily cosmetic or involves functional problems affecting your oral health helps you determine how urgently you need treatment.
Making Your Decision
Choosing how to address crooked teeth represents a significant decision affecting both your appearance and potentially your oral health. Taking a thoughtful, informed approach helps ensure you select treatment you’ll be satisfied with long-term.
Schedule consultations with qualified dental professionals who offer multiple treatment options rather than just one approach. Dentists who provide comprehensive evaluations and present various alternatives help you understand the full range of possibilities for your situation. Be wary of practitioners who push a single solution without discussing alternatives or who seem more interested in selling expensive treatments than addressing your actual needs.
Take time to research and understand your options before committing to treatment. Don’t feel pressured to decide immediately during your first consultation. Request written treatment plans and cost estimates to review at home, and feel free to seek second opinions if helpful. Most dental practices expect patients to carefully consider significant treatments rather than deciding hastily.
Consider your personal priorities and what matters most to you—cost, timeline, results, invasiveness, or other factors. No single “best” treatment exists; the right choice depends on your individual circumstances and values. Being clear about your priorities helps guide your decision when weighing trade-offs between different options.
Evaluate not just the treatment itself but also your comfort and confidence in the dental team who would perform it. Successful outcomes depend partly on the provider’s skill and experience. Choose practitioners you trust and feel comfortable communicating with throughout the treatment process.
Patients seeking smile correction in Gandhinagar can find comprehensive evaluation and multiple treatment options at our dental clinic near PDPU. We provide honest assessments, present all appropriate alternatives, and help you choose the approach best aligned with your goals, timeline, and budget. Schedule a consultation to discuss your specific situation and explore what options might work for you.
Frequently Asked Questions
What’s the fastest way to fix crooked teeth without braces?
Dental veneers provide the fastest results for improving the appearance of crooked teeth, typically requiring just two to three appointments over a few weeks. Veneers don’t actually move your teeth but instead cover them with thin shells that create the illusion of straight, perfectly aligned teeth. This approach works best for minor to moderate misalignment affecting your front teeth when your primary goal is cosmetic improvement rather than functional correction. Dental bonding offers another quick option for very minor issues, often completed in a single appointment. However, if you want to actually straighten your teeth rather than just camouflage misalignment, clear aligners represent the fastest orthodontic option, though they still require several months of treatment.
Are veneers a permanent solution for crooked teeth?
Veneers are long-lasting but not permanent—they typically last ten to fifteen years before needing replacement. The process of placing veneers for crooked teeth requires removing a thin layer of tooth enamel, which makes the treatment irreversible in the sense that you’ll always need some restoration covering those teeth afterward. Veneers provide an excellent cosmetic solution for minor misalignment but don’t address underlying orthodontic issues. If you want a truly permanent solution that corrects actual tooth position, orthodontic treatment followed by permanent retainer wear offers more lasting results. Many patients in Gandhinagar choose veneers for their durability and dramatic cosmetic improvement when quick transformation matters more than permanent orthodontic correction.
Can dental bonding fix gaps and crooked teeth affordably?
Dental bonding can address minor gaps and slight misalignment very affordably compared to other cosmetic dentistry options. The composite resin material used in bonding costs significantly less than porcelain veneers while still providing noticeable improvement for small cosmetic concerns. However, bonding works best for minor issues involving one or a few teeth rather than extensive misalignment. Bonding typically lasts five to ten years before needing touch-ups or replacement, shorter than veneers but still providing good value for its cost. For people seeking teeth straightening options on a budget who have relatively minor concerns about their front teeth’s appearance, bonding represents an excellent starting point and might be all the treatment needed.
Do I need orthodontic treatment even if my teeth look only slightly crooked?
Whether you need treatment depends on whether your misalignment is purely cosmetic or involves functional problems. Slightly crooked teeth that don’t cause bite issues, jaw pain, difficulty chewing, or increased cavity risk might not require any treatment if you’re satisfied with their appearance. Many people have minor misalignment that doesn’t affect their oral health or confidence. However, if your slight crookedness bothers you cosmetically, various smile correction options exist. If misalignment causes functional problems even when not severe, addressing it prevents potential worsening and complications. Consultation with a dentist or orthodontist provides professional assessment of whether your specific situation benefits from treatment or if it’s purely an optional cosmetic choice.
Which costs more—clear aligners or veneers for fixing crooked front teeth?
Cost comparison depends on how many teeth you’re addressing. Clear aligners typically treat your entire arch or both arches with pricing based on treatment complexity and duration rather than number of teeth moved. Veneers price per tooth, so treating just two or four front teeth with veneers might cost less than comprehensive clear aligner treatment. However, treating six to eight front teeth with veneers usually exceeds clear aligner costs. Clear aligners actually move your teeth into better positions permanently, while veneers camouflage misalignment by covering teeth. Consider not just initial cost but also longevity—clear aligner results last indefinitely with proper retainer wear, while veneers eventually need replacement. Discuss specific pricing for your situation at a crooked teeth treatment Gandhinagar clinic to compare actual costs for recommended options.


