CBCT vs. OPG: Understanding Full Jaw 3D Imaging

CBCT vs. OPG: Understanding Full Jaw 3D Imaging
Two Powerful Tools, One Important Decision
Your dentist just told you that you need an X-ray of your full jaw. But then comes the question: “Which type of X-ray — OPG or CBCT?” And more importantly, “Why does it matter?”
If you have ever wondered why some dental procedures need a flat panoramic image while others require a detailed 3D scan, you are not alone. The difference between an OPG and a CBCT is one of the most common questions patients ask at Nova Dental Hospital — and understanding it can make a real difference in the quality of your dental care.
Both the OPG (Orthopantomogram) and CBCT (Cone Beam Computed Tomography) are full-jaw imaging technologies. Both are safe, non-invasive, and performed right here in our in-house radiology suite at Nova Dental Hospital, Gandhinagar. But they are designed for very different purposes — and using the wrong one can lead to missed diagnoses or unnecessary radiation exposure.
In this blog, we break down what each technology does, when your dentist recommends one over the other, what the scan experience looks like, and why some complex cases benefit from both imaging types together.
🔑 Key Takeaways
- OPG provides a flat, 2D panoramic dental X-ray of the entire jaw — fast, low-dose, and ideal for routine screening.
- CBCT provides a high-resolution 3D scan of the jaw with depth, bone density, and nerve mapping — essential for implants, surgery, and complex root canals.
- Both scans are available in-house at Nova Dental Hospital — no external referrals, no wait times.
- Choosing the right imaging saves time, improves accuracy, and protects your health.
What Is an OPG? — The Panoramic Dental X-ray Explained
The Basics of OPG Imaging
OPG stands for Orthopantomogram — a word that sounds far more complicated than the scan itself. It is the standard panoramic dental X-ray that most dental patients are familiar with: you stand in front of a rotating machine, bite down on a small mouth prop, and the arm sweeps around your head in about 15 seconds.
The result is a single, wide-format 2D image that captures your entire dental arch — all teeth (including wisdom teeth), both jaws, the temporomandibular joints (TMJ), the sinuses, and the surrounding bone — in one flat view.
Think of OPG as the wide-angle photograph of your mouth. It shows the big picture — efficiently and quickly.
What Can an OPG Show?
A panoramic dental X-ray provides your dentist with a comprehensive overview of your oral health, including:
- All 32 teeth — both present and missing, including impacted wisdom teeth
- Bone levels — to assess gum disease and jawbone health
- Tooth roots — their length, curvature, and orientation in the jaw
- Jaw joints (TMJ) — position and visible abnormalities
- Sinus regions — maxillary sinuses visible from a superior view
- Cysts, tumours, and infections — when large enough to be visible in 2D
- Developing teeth in children — tracking growth and eruption patterns
When Is OPG the Right Choice?
Your dentist will typically recommend an OPG for:
- Routine annual or bi-annual dental check-ups
- Initial screening before planning orthodontic treatment (braces or aligners)
- Assessment of wisdom tooth position before extraction
- Monitoring bone loss in periodontal (gum) disease patients
- Pre-extraction planning for straightforward tooth removals
- Paediatric dental screenings to monitor tooth development
- TMJ evaluation when jaw pain or clicking is reported
✅ Quick Tip: OPG Radiation Dose
- An OPG X-ray delivers approximately 14–24 microsieverts (μSv) of radiation — roughly equivalent to 1-3 days of natural background radiation.
- It is one of the lowest-dose full-mouth imaging options available in dental care.
- This makes it safe for routine annual use and appropriate for most adults and older children.
What Is a CBCT? — Full Jaw 3D Imaging Explained
The Technology Behind CBCT
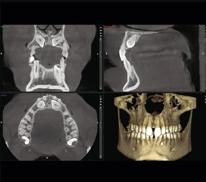
CBCT stands for Cone Beam Computed Tomography. Unlike the rotating arm of an OPG, CBCT uses a cone-shaped beam of X-rays that revolves 360° around the patient’s head, capturing hundreds of individual images in a single rotation. A computer then reconstructs these images into a precise three-dimensional volume — a full jaw 3D X-ray that can be examined from any angle, at any slice depth.
Imagine the difference between looking at a photograph of a building versus walking through a 3D architectural model of it. That is the difference between OPG and CBCT.
The CBCT system at Nova Dental Hospital generates sub-millimetre accuracy images in three anatomical planes simultaneously: axial (top-down), coronal (front-facing), and sagittal (side profile). This multi-plane view is what enables our specialists to plan surgeries and implant placements with extraordinary precision.
What Can CBCT Reveal That OPG Cannot?
A CBCT 3D scan goes far beyond surface-level imaging. It reveals:
- Bone volume and density — exact three-dimensional measurements of available bone for implant placement
- Nerve canal mapping — the precise location of the inferior alveolar nerve to prevent surgical damage
- Root morphology in 3D — curved, fused, or extra roots invisible in 2D
- Hidden infections — small periapical lesions and abscesses not visible on OPG
- Impaction depth and angle — exact position of wisdom teeth or unerupted canines relative to adjacent structures
- Sinus floor anatomy — critical for upper jaw implant planning near the maxillary sinus
- TMJ disc position — 3D evaluation of joint space and bone changes
- Airway assessment — identifying airway narrowing related to sleep apnoea
Clinical Applications of CBCT at Nova Dental Hospital
Our team uses CBCT imaging across a range of advanced procedures. For Dental Implants in Gandhinagar, the CBCT scan is non-negotiable — it gives us the bone map we need to place implants safely and predictably. For Painless Root Canal Treatment, CBCT reveals the exact number and curvature of root canals that flat X-rays often miss.
For Wisdom Tooth Removal, a CBCT is essential when the tooth is deeply impacted or positioned close to the inferior alveolar nerve. For Orthodontic treatment including braces and clear aligners, CBCT allows 3D analysis of tooth movement planning and impacted canine localisation.
✅ Quick Tip: CBCT Radiation Dose
- CBCT radiation dose varies depending on the field of view (FOV) selected.
- A small FOV (single tooth region) delivers approximately 40–100 μSv — only marginally more than an OPG.
- A full-skull large FOV CBCT can deliver 200–600 μSv — still far below the 10,000 μSv threshold that begins to be clinically significant.
- At Nova Dental Hospital, we always select the smallest appropriate field of view to minimise dose while maximising diagnostic value.
OPG vs. CBCT — The Complete Comparison
The table below summarises the key differences between a panoramic dental X-ray (OPG) and a full jaw 3D imaging scan (CBCT) to help you understand when each is appropriate:
| Feature | OPG (Panoramic X-ray) | CBCT (3D Scan) |
| Image Type | 2D — flat, panoramic | 3D — volumetric, multi-planar |
| Views Generated | Single panoramic image | Axial, coronal, sagittal planes |
| Radiation Dose | 14–24 μSv (very low) | 40–600 μSv (low to moderate, depends on FOV) |
| Scan Duration | ~15–20 seconds | ~10–40 seconds |
| Bone Measurement | Approximate / relative | Precise 3D dimensions (sub-mm accuracy) |
| Nerve Mapping | Not possible | Yes — exact nerve canal location |
| Root Canal Detail | Limited (overlapping) | Full 3D root morphology visible |
| Implant Planning | Preliminary only | Gold standard — required for placement |
| Sinus Assessment | Basic overview | Detailed 3D anatomy |
| Cost | Lower | Higher (specialist imaging) |
| Best For | Routine screening, orthodontics, basic extractions | Implants, complex surgery, advanced RCT, TMJ analysis |
| Available at Nova Dental | Yes — in-house | Yes — in-house |
Both OPG and CBCT imaging are available in Nova Dental Hospital’s in-house radiology suite — meaning no referrals, no travel, and no treatment delays for our patients in Gandhinagar.
Which Scan Do You Actually Need?
Start with OPG — Unless Your Case Is Complex
For most routine dental visits, an OPG is the appropriate starting point. It is fast, affordable, low-radiation, and gives your dentist the overview they need to plan basic treatments. If you are visiting Nova Dental Hospital for a check-up, teeth cleaning, or straightforward filling treatment, an OPG will almost certainly be sufficient.
Upgrade to CBCT When the Stakes Are Higher
Your dentist will recommend CBCT imaging when the treatment involves higher surgical precision or when 2D imaging has left important clinical questions unanswered. Common CBCT indications include:
- Dental implant placement — bone volume, height, angulation, and sinus proximity must all be measured precisely
- Complex root canal cases — extra canals, curved roots, calcified canals, or previous treatment failures
- Deeply impacted wisdom teeth — especially when nerve proximity is suspected
- Unerupted or impacted canines — for orthodontic traction planning
- Jaw tumours, cysts, or large infections — to map the exact boundaries before surgery
- TMJ disorders with bone involvement — condylar erosion, disc displacement
- Orthognathic surgery planning — jaw repositioning procedures
- Sleep apnoea assessment — airway volume and obstruction mapping
When You Need Both
“Can a patient need both an OPG and a CBCT?” Yes — and in some clinical workflows, using both is actually best practice.
Consider a patient presenting for full-mouth dental implant rehabilitation. The initial OPG gives the dentist a panoramic overview: missing teeth, bone levels at a glance, sinus proximity in two dimensions. Based on that overview, specific regions are then scanned with CBCT for detailed 3D planning of each implant site.
Similarly, in orthodontic planning with impacted teeth, an OPG confirms the overall dental development status, while a targeted CBCT scan precisely localises the impacted tooth for surgical exposure planning.
At Nova Dental Hospital, our specialists are trained to select the most diagnostically efficient imaging protocol — ensuring you receive the information needed for accurate treatment while avoiding unnecessary scans.
What to Expect During Your Jaw X-ray at Nova Dental Hospital
OPG — What the Panoramic X-ray Feels Like
The OPG experience at Nova Dental Hospital is quick and entirely comfortable:
- You will be asked to remove any jewellery, glasses, or metal accessories from your head and neck.
- You stand (or sit) in front of the OPG unit and bite gently on a small sterile chin rest.
- The machine’s arm rotates slowly around your head — taking approximately 15–20 seconds.
- You will be asked to remain still and breathe normally during the scan.
- The image appears on our digital system almost immediately for the dentist to review.
No injections. No discomfort. No preparation required.
CBCT — What the 3D Jaw Scan Feels Like
The CBCT scan is equally comfortable — just slightly longer:
- Metal accessories are removed and you may be asked to wear a lead apron.
- You sit or stand in the CBCT unit with your head gently positioned in a chin/forehead rest.
- The rotating arm completes a full 360° sweep in approximately 10–40 seconds depending on the field of view selected.
- You breathe normally — no need to hold your breath.
- Our radiologist and dental specialist then review the 3D volume on specialised software, generating the axial, coronal, and sagittal views required for your treatment plan.
The 3D reconstruction and analysis typically adds 15–30 minutes before a full consultation report is ready — but because our system is fully in-house, this happens without external waiting periods.
Are These Scans Safe?
Yes — both OPG and CBCT are widely considered safe for routine dental diagnostic use. Radiation doses are carefully calibrated and represent a small fraction of annual natural background radiation. At Nova Dental Hospital, we always apply the ALARA principle — As Low As Reasonably Achievable — selecting the minimum field of view and exposure parameters required for clinical accuracy.
For patients who are pregnant or planning to become pregnant, please inform your dentist before any imaging. In such cases, non-radiation diagnostic alternatives will be considered wherever possible, or your scan will be scheduled after the first trimester with a protective lead apron. For children’s dental scans, please refer to our Paediatric Dentistry team who will determine the safest and most appropriate imaging protocol.
✅ Quick Tips for Your Dental Imaging Visit
- Wear comfortable clothing with a round or V-neck — this avoids metal zips or buttons near the scan field.
- Remove large earrings, necklaces, or hair clips before your appointment.
- Let your dentist know about any previous jaw surgeries, dental implants already in place, or jaw trauma.
- Ask your dentist to explain which type of scan is being taken and why — a good dentist will always be happy to explain.
- Bring any previous dental X-rays from other clinics — this can sometimes reduce the need for additional scans.
CBCT and OPG in Specific Treatments at Nova Dental Hospital
Dental Implants — Why CBCT Is Non-Negotiable
Dental implant placement is the most precision-demanding procedure in modern dentistry. Even a one-millimetre error in angulation or depth can mean the difference between a perfectly integrated implant and a failed one. For this reason, CBCT imaging is considered the gold standard for implant planning worldwide.
At Nova Dental Hospital, every dental implant case begins with a CBCT scan that gives our implantologist:
- Exact bone width and height at the implant site
- Bone density grading (D1 to D4) — which determines implant type and protocol
- Distance to the inferior alveolar nerve (lower jaw) or sinus floor (upper jaw)
- Identification of any residual infection or bone defects at the site
- 3D virtual placement simulation before the first incision is made
Root Canal Treatment — Finding the Canals OPG Misses
Root canal systems are far more complex than they look on a flat X-ray. Studies show that standard 2D radiographs miss additional canals in up to 40% of multi-rooted molars. A missed canal means incomplete disinfection — and a root canal that fails.
For complex or retreatment root canal cases, our endodontists use CBCT to identify:
- The exact number and morphology of root canals
- Canal curvature — to prevent instrument separation during shaping
- Periapical lesion size and boundary — to assess healing progress
- Root resorption or perforations not visible in 2D
Gum Disease and Bone Loss Assessment
For patients undergoing gum treatment or gum infection treatment, OPG is often the primary imaging tool. It allows our periodontists to assess the overall pattern of bone loss across the full dental arch at a glance. In severe or localised cases, a targeted CBCT may be added to quantify bone loss in three dimensions at specific sites — critical for planning regenerative procedures.
Orthodontics and Aligners
For patients considering Dental Braces or Clear Aligners (Invisalign), the OPG forms the foundation of the diagnostic record. It shows tooth positions, root angulations, unerupted teeth, and jaw symmetry in one view. CBCT is added specifically when impacted canines need to be localised in 3D for surgical exposure, or in complex skeletal cases requiring orthognathic surgery consultation.
Wisdom Tooth Removal
Not every wisdom tooth removal requires a CBCT. For teeth that are fully erupted or partially erupted with a clearly visible root pattern, OPG provides adequate information. However, when an impacted wisdom tooth appears to overlap or lie very close to the inferior alveolar nerve on OPG — a CBCT is essential to measure the true 3D relationship and minimise the risk of nerve damage during extraction.
Why In-House Imaging at Nova Dental Hospital Changes Everything
Here is a scenario most patients in Gandhinagar have experienced: You visit your dentist, they say you need an X-ray, you are sent to an imaging centre across town, you wait for an appointment, you get your scan, you return to your dentist, and then — only then — can treatment planning begin. Days pass. Sometimes a week or more.
At Nova Dental Hospital, this workflow does not exist.
Our fully equipped in-house radiology suite means your OPG or CBCT scan is taken in the same appointment as your consultation. Our dental specialists review the images immediately — the 3D reconstruction is analysed on our advanced imaging software while you are still in the clinic. Treatment planning begins the same day.
This is not a small convenience. It is a fundamental improvement in the quality of care.
| Benefit | External Imaging Centre | Nova Dental Hospital (In-House) |
| Same-day imaging | Rarely — requires separate appointment | Yes — always available |
| Specialist review speed | Days to receive report | Immediate, in consultation |
| Treatment start | Delayed by days or weeks | Same visit planning |
| Communication accuracy | Written report only | Direct specialist-to-specialist review |
| Follow-up imaging | Another external appointment | Done on the same day |
| Emergency imaging | Often not possible same-day | Available during clinic hours |
Located near PDPU and Gift City in Gandhinagar, Nova Dental Hospital serves patients across Ahmedabad, Gandhinagar, and the surrounding regions. For international patients and NRIs planning dental treatment in India, our NRI Dental Care pathway includes diagnostic imaging as part of the pre-treatment assessment — ensuring your treatment plan is ready before you even land.
Complete Clinical Scenario Guide — OPG vs. CBCT
Not sure which imaging your specific situation calls for? Use this reference guide:
| Clinical Scenario | Recommended Imaging | Reason |
| Annual dental check-up | OPG | Overview of all teeth and bone levels |
| Routine tooth extraction (visible tooth) | OPG | Adequate root and bone view for straightforward cases |
| Orthodontic treatment start | OPG ± CBCT | OPG for full arch; CBCT if impacted teeth present |
| Single dental implant planning | CBCT | Bone volume, nerve proximity, angulation required |
| Multiple implants / full arch implants | CBCT | Full 3D mapping of all implant sites essential |
| Root canal — first-time, single root | OPG | Adequate for straightforward single canal cases |
| Root canal — multi-rooted or retreatment | CBCT | Identifies missed canals and complex morphology |
| Wisdom tooth removal (erupted) | OPG | Sufficient for straightforward extractions |
| Wisdom tooth removal (deep impaction) | CBCT | Nerve proximity assessment essential |
| Gum disease monitoring | OPG | Full-arch bone level assessment |
| Bone grafting procedure | CBCT | 3D defect mapping required for graft planning |
| TMJ pain / jaw joint assessment | OPG then CBCT | OPG for initial screen; CBCT for bone detail |
| Jaw cyst or tumour evaluation | CBCT | Boundary mapping and internal structure assessment |
| Paediatric growth assessment | OPG | Eruption tracking; low dose appropriate |
Frequently Asked Questions
FAQ 1: Is a CBCT scan the same as a CT scan done at a hospital?
No — they are different technologies designed for different purposes. A hospital CT scan (medical CT) uses a fan-shaped beam, covers large body regions, and delivers significantly higher radiation doses, often 1,000–5,000 μSv or more. A dental CBCT uses a cone-shaped beam focused specifically on the jaw and teeth region, delivering a much lower dose (40–600 μSv depending on field of view) while producing the 3D detail dentists need for tooth and bone evaluation. CBCT is purpose-built for dentistry and oral surgery — it provides more relevant detail at a fraction of the dose of a medical CT scan.
FAQ 2: How often can I safely have an OPG or CBCT scan?
OPG is safe for routine annual use in most adult patients. CBCT scans are prescribed based on clinical need — not on a routine schedule — because while their dose is low, the ALARA principle means we always minimise exposure to what is diagnostically necessary. At Nova Dental Hospital, no imaging is ordered without a clear clinical justification. For patients undergoing active implant or orthodontic treatment, periodic CBCT scans may be taken at specific treatment milestones. Your dentist will always explain why a scan is being recommended.
FAQ 3: Can I see the images from my OPG or CBCT scan?
Absolutely — and we encourage it. At Nova Dental Hospital, our specialists take the time to show you your OPG panorama and CBCT 3D reconstruction and explain what they reveal. Seeing your own bone levels, root anatomy, or implant site in three dimensions is one of the most effective ways to understand your treatment plan and feel confident in the decisions being made. You can also request a digital copy of your scan for your personal records or to share with a specialist.
FAQ 4: What is the difference between a full jaw 3D X-ray and a regular dental X-ray?
A regular dental X-ray (called a periapical X-ray) shows one or two teeth at a time in 2D — primarily used to check a specific tooth’s root and surrounding bone. An OPG (panoramic dental X-ray) is a full jaw 2D image capturing all teeth and both jaws in one wide frame. A CBCT is a full jaw 3D X-ray — it captures the same region as an OPG but in volumetric three-dimensional detail, allowing depth measurement, bone density analysis, and nerve tracing. Each has its role: periapical for spot checks, OPG for overview screening, and CBCT for precision treatment planning.
FAQ 5: Does Nova Dental Hospital charge extra for CBCT compared to OPG?
Yes — CBCT imaging involves more sophisticated technology, longer processing time, and specialist analysis software, so it does carry a higher fee than OPG. However, when a CBCT is clinically indicated, it is an investment that directly improves the accuracy and safety of your treatment. Nova Dental Hospital’s team will always inform you in advance of any imaging recommended and its associated cost — there are no surprise charges. Our goal is to provide the most diagnostically appropriate and cost-effective imaging for your specific clinical need.
🔑 Key Takeaways
- OPG (panoramic dental X-ray) is a 2D full-jaw image — fast, low-dose, and ideal for routine screening and overview assessment.
- CBCT is a full jaw 3D X-ray — providing bone dimensions, nerve mapping, and root morphology in three planes for precision treatment planning.
- Dental implants, complex root canals, deeply impacted wisdom teeth, and surgical cases require CBCT — not OPG.
- Some cases benefit from both: OPG for the overview, CBCT for targeted 3D detail at specific sites.
- Both scans are available in-house at Nova Dental Hospital, Gandhinagar — no external referrals, same-day imaging.
- Radiation doses from both OPG and CBCT are clinically safe; Nova Dental Hospital follows the ALARA principle for every scan.
- Our imaging suite enables same-consultation diagnosis and treatment planning — saving you time and improving the quality of your care.
Conclusion: The Right Image Leads to the Right Treatment
Modern dentistry is only as good as the information behind it. A misread 2D X-ray, a missed root canal, or an implant placed without precise bone measurements — these are clinical errors that advanced imaging exists to prevent.
Understanding the difference between an OPG panoramic dental X-ray and a CBCT full jaw 3D scan is not just technical knowledge — it empowers you to be an informed participant in your own dental care. When you know why your dentist is recommending a specific type of imaging, you can trust the process and understand the treatment plan being built around your unique anatomy.
At Nova Dental Hospital in Gandhinagar, both OPG and CBCT imaging are available in-house, reviewed by specialists, and integrated seamlessly into your treatment appointment. Whether you are here for a routine dental check-up, planning dental implants, or managing a complex dental concern — our imaging suite ensures you receive the clearest possible picture before any treatment begins.
Have a question about which type of dental imaging is right for you? Book a consultation at Nova Dental Hospital today — we will review your case, recommend the appropriate scan, and walk you through the findings together.


