preloader

Blog

Importance of Tooth Caries Restoration

Importance of Tooth Caries Restoration

Importance of Tooth Caries Restoration

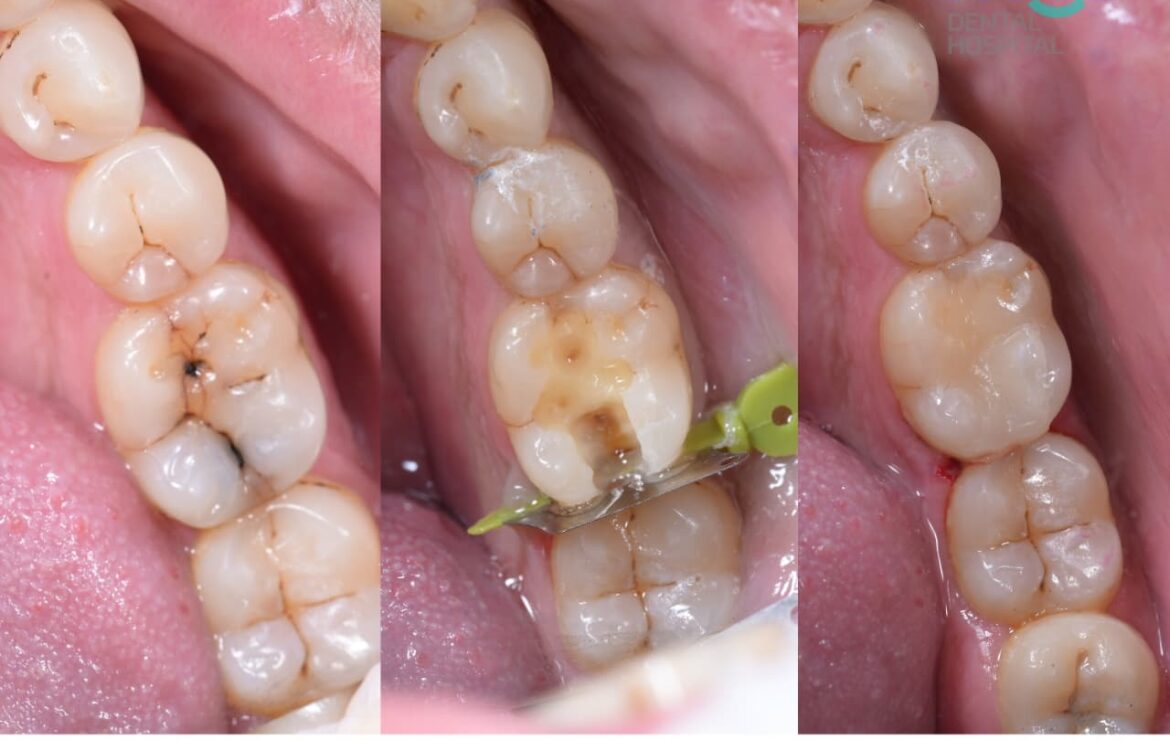
What are Tooth Caries?

Tooth caries, commonly known as cavities, occur when bacteria in the mouth break down sugars and produce acids that damage the enamel. Over time, untreated cavities can progress into deeper layers of the tooth, leading to pain, infection, and even tooth loss.

Why Early Caries Restoration is Crucial

1. Prevents Further Damage
Cavities don’t heal on their own. Without treatment, decay spreads into the dentin and pulp, causing severe pain and infection. At Nova Dental Hospital, Gandhinagar, we use advanced diagnostic tools to detect cavities early and restore teeth with precision.

2. Saves Natural Teeth
Restoring caries at an early stage helps preserve your natural tooth structure. Treatments like tooth-colored fillings, inlays, or onlays ensure strength and durability while maintaining a natural appearance.

3. Relieves Pain and Sensitivity
Patients often experience sensitivity to hot, cold, or sweet foods when cavities are present. Painless cavity treatment at Nova Dental Hospital helps seal the tooth and eliminate discomfort.

4. Cost-Effective and Less Invasive
Early caries restoration is quicker, simpler, and more affordable compared to advanced procedures like root canals, crowns, or extractions. Preventive care today means fewer complications tomorrow.

5. Improves Aesthetics and Confidence
At Nova Dental Hospital in Gandhinagar, we specialize in cosmetic dentistry. Our tooth-colored composite fillings blend seamlessly with your natural teeth, restoring not just function but also the beauty of your smile.

 

Why Choose Nova Dental Hospital for Caries Restoration?

✅ Experienced Dentists – Led by Dr. Happy Patel, our team is highly skilled in restorative and cosmetic dentistry.

✅ Advanced Technology – Digital X-rays, intraoral scanners, and laser-assisted dentistry ensure accurate, painless, and long-lasting results.

✅ Comprehensive Care – From simple fillings to advanced root canal therapy and dental implants, all treatments are available under one roof.

✅ Patient Comfort First – We focus on painless procedures and stress-free dental experiences for children and adults alike.

Final Thoughts

Tooth caries may seem minor at first, but timely restoration is the key to saving your teeth, relieving pain, and avoiding costly treatments. At Nova Dental Hospital, Gandhinagar, we provide world-class dental care with modern technology, compassionate treatment, and a commitment to your long-term oral health.

 

Frequently Asked Questions – Tooth Caries Restoration in Gandhinagar

Q1: Why is Nova Dental Hospital considered the best clinic for cavity treatment in Gandhinagar?
At Nova Dental Hospital, Kudasan, we combine advanced technology, digital precision, and years of expertise to deliver world-class, painless caries restoration. Our focus on premium care ensures long-lasting results and a stress-free dental experience.

 

Q2: Is cavity filling at Nova Dental Hospital painful?
No. We use state-of-the-art anesthesia techniques, laser dentistry, and digital scanning to make cavity restoration completely painless. Most patients are surprised by how comfortable the treatment feels.

 

Q3: How do I know if I need tooth caries restoration or a root canal?
If decay is detected early, a tooth-colored filling is usually enough. When cavities are deep and affect the tooth pulp, a microscope-guided root canal may be recommended. At Nova Dental Hospital, we provide digital X-rays and expert consultation to guide you with the best option.

 

Q4: What makes Nova Dental Hospital different from other dental clinics in Gandhinagar?

Premium, patient-focused care

Advanced technology (intraoral scanner, dental lasers, Carl Zeiss microscope)

One-stop solution: fillings, root canal, implants, Invisalign, cosmetic dentistry

5⭐ Google rating with hundreds of satisfied patients

 

Q5: Where is Nova Dental Hospital located in Gandhinagar?
We are conveniently located at Radhe Times Square, Kudasan, near Hotel Management Institute PDPU. Our clinic is easily accessible for patients from Gandhinagar, Raysan, Kudasan, and nearby Ahmedabad.

 

Q6: How can I book an appointment at Nova Dental Hospital?
You can call us directly at +91 9638 111 082 or use our online booking system to schedule a consultation at your convenience.

 

Book your appointment today and protect your smile for a lifetime!

📍 Nova Dental Hospital, Radhe Times Square, Kudasan, Gandhinagar
📞 Call: +91 9638 111 082

Write a Comment