What is Full Mouth Rehabilitation?

What is Full Mouth Rehabilitation?
If you live with multiple missing teeth, chronic jaw pain, or severe tooth decay that affects your quality of life, you might feel like your smile is beyond repair. You might have heard the term “smile makeover,” but your needs go beyond simple aesthetics. That’s where a truly transformative solution comes in. The answer is full mouth rehabilitation.
So, what is full mouth rehabilitation? Simply put, it’s a comprehensive approach that rebuilds every tooth in your upper and lower jaws, restoring optimal function, health, and appearance. It is the gold standard for complex dental issues. At Nova Dental Hospital, we are the experts in full mouth rehabilitation Gandhinagar residents trust for complex cases. This guide will walk you through the entire dental rehabilitation process and show you the life-changing potential of a complete full mouth reconstruction.
The Need for Full Mouth Rehabilitation: When is it Necessary?
Full Mouth Rehabilitation (FMR) is not simply a cosmetic upgrade; it’s a necessary procedure when the structural and functional integrity of the mouth has been severely compromised.
A typical candidate for full mouth reconstruction usually presents with complex, interrelated problems:
- Widespread Damage: Severe wear, erosion, or widespread tooth decay affecting almost all teeth.
- Multiple Missing Teeth: Loss of several teeth, which leads to bite collapse and shifting of remaining teeth.
- Chronic Pain and Dysfunction: Constant jaw pain (TMD/TMJ) resulting from a severely misaligned or collapsed bite.
- Failed Restorations: Numerous crowns, fillings, and bridges that are failing or deteriorating.
- Advanced Gum Disease: Periodontitis that has destroyed the bone structure supporting the teeth.
It’s important to distinguish FMR from simple smile makeover options like whitening or veneers. While a smile makeover is aesthetic, FMR is required when the health and function of the teeth are severely compromised. It addresses the underlying issues first, then restores the beauty.
Understanding the Dental Rehabilitation Process
The dental rehabilitation process is a meticulous and systematic journey toward a new smile. It is highly customized but typically follows these phases:
Phase 1: Diagnosis and Planning
This is arguably the most critical step for successful full mouth reconstruction. It begins with a comprehensive examination, including digital X-rays, 3D CBCT scans, and digital impressions. Our dentists use this data to precisely measure your bite, jaw position, and smile aesthetics. We create a complete blueprint for your new smile, often using wax-ups or digital models to show you exactly what the final result will look like.
Phase 2: Foundation Work
Before any final restorations can be placed, we must ensure the mouth is healthy. This phase involves treating underlying conditions:
- Periodontal Treatment: Treating advanced gum disease and eliminating all infection.
- Tooth Extractions: Removing any teeth that are too severely damaged to save.
- Bone Grafting: Preparing the jawbone to receive dental implants, if necessary.
Phase 3: Restorative Treatment
Once the foundation is stable, the reconstruction begins. This is where the final, long-lasting restorations are placed according to the plan developed in Phase 1. This includes procedures like placing dental implants, custom-designed crowns, or fixed prosthetic bridges.
Phase 4: Final Placement and Follow-up
The final restorations are checked for a perfect fit, comfort, and function. The dentist ensures your new bite feels natural and looks seamless. You will then transition into a personalized hygiene and maintenance program designed to ensure the longevity of your new smile.
Core Treatment Components of Full Mouth Reconstruction
The specific procedures involved in a full mouth reconstruction vary, but they often utilize the most advanced tools in dentistry:
- Dental Implants: These are the backbone of modern FMR. Implants replace missing tooth roots, providing an anchor for highly stable and durable replacement teeth. For patients missing all teeth, treatments like All-on-4 or All-on-6 use four to six implants to support an entire arch of non-removable, fixed teeth.
- Porcelain Crowns and Bridges: Crowns restore individual teeth that are damaged but still salvageable. Bridges are used to connect teeth or implants to replace one or more missing teeth. We use high-quality materials like zirconia for superior strength and aesthetics.
- Inlays and Onlays: For teeth that need more than a filling but less than a full crown, onlays are sometimes used to restore chewing surfaces while preserving maximum natural tooth structure.
- Orthodontics: In some cases, minor tooth movement may be necessary before final restorations can be placed to achieve the optimal bite alignment.
Cost and Investment: Full Mouth Dental Implants Cost and Value
We understand that a major undertaking like FMR involves a significant financial commitment, and patients frequently ask about the full mouth dental implants cost. Since FMR is highly personalized, there is no single price. The cost is determined by several factors:
- Complexity of the Case: The amount of preliminary work needed (e.g., bone grafting, extractions).
- Number of Implants: The number of full mouth dental implants and the type of restoration they support.
- Materials: The final crowns and bridges can be made from various materials, such as porcelain-fused-to-metal (PFM) or the highly aesthetic and durable Zirconia.
While the upfront cost is substantial, it is crucial to view FMR as an investment in your health, function, and quality of life. The ability to chew comfortably, speak clearly, and smile confidently is invaluable. At our clinic for full mouth rehabilitation Gandhinagar, we provide transparent pricing and work with you to discuss all available payment and financing options.
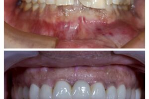
The Life-Changing Results of Full Mouth Reconstruction
The outcomes of FMR go far beyond aesthetics. Our patients often report a dramatic, life-changing transformation:
- Elimination of Pain: Chronic jaw pain and tooth sensitivity are resolved by correcting the bite.
- Restored Function: The ability to eat any food you desire—steak, apples, crunchy vegetables—without hesitation or discomfort.
- Improved Confidence: A massive boost in self-esteem that comes from having a beautiful, seamless, and completely functional smile.
Frequently Asked Questions (FAQ)
Q: How long does the dental rehabilitation process take? A. The total timeline for the dental rehabilitation process can range from 6 months to over a year, depending on the need for bone grafting or the healing time required after dental implant placement.
Q: Is full mouth rehabilitation painful? A. The restorative procedures themselves are performed under local anesthesia, ensuring you feel no pain. Any post-operative discomfort is manageable with prescribed or over-the-counter medication.
Q: How do I maintain my new smile? A. Maintenance requires excellent daily oral hygiene (brushing and flossing) and regular check-ups at Nova Dental Hospital. While the restorations are highly durable, they still require professional care to ensure their longevity.
Conclusion
Full mouth rehabilitation is the ultimate commitment to your oral health and well-being. It is a comprehensive process that requires expert planning, precision, and dedication. By choosing a trusted provider for your full mouth rehabilitation needs, you are investing in a healthier, more confident future.
If you are ready to take the first step toward a complete smile transformation, contact Nova Dental Hospital today to schedule your personalized consultation.


